
Врачи ГКБ № 1 Челябинска собрали коллекцию вещей, проглоченных жителями города, большая часть экспонатов – инородные тела, которые были извлечены из пищеводов, желудков и кишечников детей до пяти лет, передает корреспондент Агентства новостей «Доступ» со ссылкой на пресс-службу больницы.
Более чем за 30 лет в коллекции накопились три альбома с металлическими, пластиковыми, деревянными и стеклянными находками и несколько жестяных банок с монетами. Все эти «экспонаты» врачи собирают, подписывают, а потом показывают наглядно на профилактических беседах.
В основном коллекцию пополняют дети в возрасте от нескольких месяцев до 5 лет. Число юных пациентов в больнице растет во время каникул, праздников и выходных, когда у маленьких «исследователей» появляется бесконтрольный доступ к всевозможным предметам. Дети воспринимают проглатывание несъедобных предметов как игру, поэтому опасности не чувствуют. Чаще всего дети интересуются кончиком градусника, заколками для волос, ватными палочками, мелкими игрушками, брелоками, фруктовыми косточками, украшениями.
«Помню, мы доставали шариковую ручку из пищевода полуторагодовалого малыша. Как она там могла оказаться – непонятно», – рассказывает заведующий эндоскопическим отделением горбольницы № 1 Челябинска Андрей Демидов.

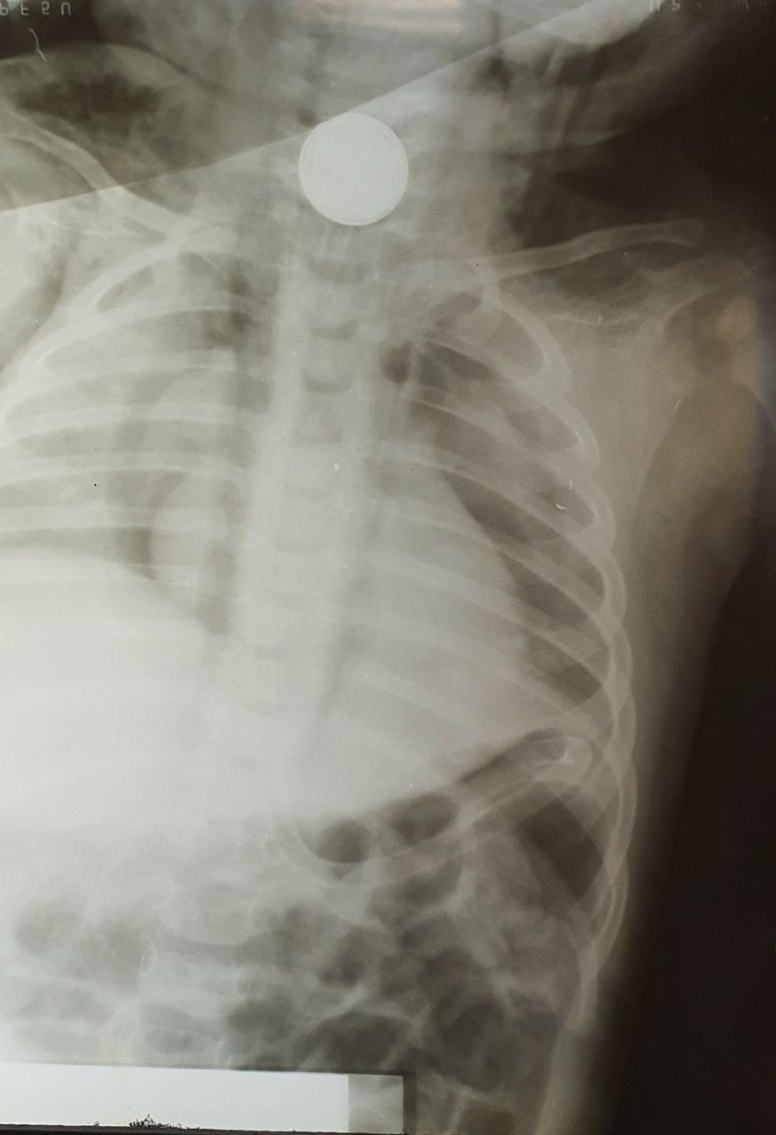
Был случай, что из глоточно-пищеводного перехода у третьеклассника врачи достали дротик. Но в отдельных случаях острые предметы не так опасны, как батарейки и магниты. «Магниты страшны, когда ребенок проглатывает один за другим. И во время движения по кишечнику они смагничиваются – возникают пролежни, перфорация и перитонит и даже некроз тканей, что является грозным осложнением для жизни ребенка и требует оперативного вмешательства. Батарейки, помимо механических повреждений, вызывают ожоги пищевода и желудка», – говорит детский хирург, заведующий отделением детской хирургии ГКБ № 1 Виктор Базалий.
Перфорацию (повреждение) пищевода могут вызвать кость, игла, стекло. Впрочем, последнее имеет свойство смешиваться с пищевыми массами в желудке и выходить самостоятельно, без медицинского вмешательства. Но иногда нужно эндоскопическое или оперативное вмешательство, поэтому в любом случае следует обратиться за медицинской помощью.
Фото ГКБ № 1
