
Челябинские врачи помогли 15-летней девочке с редким наследственным заболеванием, передает корреспондент Агентства новостей «Доступ».
К генетику ЧОДКБ обратилась женщина и ребенком.
У несовершеннолетней были сильные боли в мышцах, слабость и ухудшение памяти. Она перестала посещать колледж, постоянно уставала, стала замкнутой.
«Из амбулаторной карты я узнала, что несколько лет назад у ребенка обнаружили деформацию стопы. Ортопед предложил операцию, после которой возникли осложнения – остеопороз костей стопы. Потребовалась реабилитация и дополнительное лечение. Назначена терапия специализированными препаратами, на этом фоне развилась почечная недостаточность и девочку в срочном порядке перевели в нефрологическое отделение», – рассказывает врач Алена Побединская.
Далее, по ее словам, были бесконечные больницы, консультации у московских врачей. Всякий раз назначалась лишь поддерживающая терапия. В какой-то момент эксперты даже заподозрили девочку в симуляции симптомов.
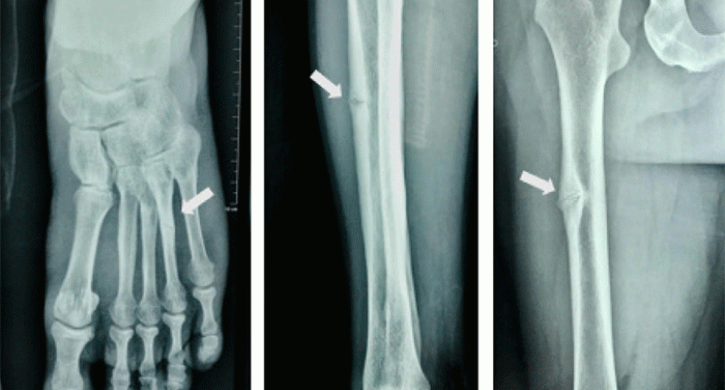
«Никто не заметил неоднократно выявленного снижения щелочной фосфатазы. Просто продолжали реабилитацию. Снижение ЩФ часто игнорируется специалистами. Это может сигнализировать о возможном наследственном заболевании, гипофосфатазия (ГФФ), которое проявляется множеством проблем: выпадением зубов, частыми переломами, искривлением позвоночника, низким ростом, почечной недостаточностью, снижением памяти, задержкой речевого развития», – говорится генетик Побединская .
Диагностика ГФФ абсолютно бесплатна для взрослых и детей, не занимает много времени. Диагноз у девочки был подтвержден.
«Препарат для ГФФ закупается за счет фонда "Круг Добра". Его получают практически сразу после сбора документов. Девочке начали вводить препарат, однако возникли серьезные проблемы: инъекции сопровождались сильной болью. Мы переживали, что придется отменять лечение. Нам всем удалось справиться с трудностями, препарат не отменили. Девочка снова учится, память восстановилась, боли значительно уменьшились. Вся наша команда гордится достигнутым результатом! Эта история напоминает о важности внимательного подхода к деталям медицинской карты, восхищает упорством пациентов и их близких в поиске правильного решения», – резюмировала Алена Побединская.
